Corsi di Formazione ed Eventi
Praticamente M2
Corsi di formazione per professionisti e specialisti del settore odontoiatrico
Il nostro slogan.
PRATICAMENTE Corsi di formazione teorici pratici ad alto contenuto formativo.
Da sempre M2 Implants è attenta alle esigenze professionali dei proprie clienti e offre ogni anno una vasto programma di corsi formativi.
La passione per l’eccellenza nell’ambito della formazione fa si che il nostro impegno non sia solamente un lavoro ma un vero e proprio obiettivo. I nostri corsi, teorici pratici, sulle varie tematiche odontoiatriche, da anni sono scelti da professionisti di tutto il territorio nazionale e non solo, perché sappiamo proporre l’eccellenza in ambito formativo e organizzativo.
Corso intensivo di protesi fissa.
Corso intensivo di protesi fissa:
approccio estetico-funzionale dai fondamentali al digitale
Il corsista acquisirà attraverso la teoria, la pratica e le live tutte le conoscenze, i dettagli e la sicurezza necessaria per poter nella propria attività clinica, gestire casi più o meno complessi.
Venerdì 30 Gennaio 2026
Sabato 31 Gennaio 2026
Venerdì 20 Febbraio 2026
Sabato 21 Febbraio 2026
Relatori:
D R . S S A GRAZIELI D A L M A S C H I O
D R . M AURIZIO D E F R A N C E S C O
O D T . C . B A R O N C I N I
Sede del Corso:
32 Sensi - Treviso
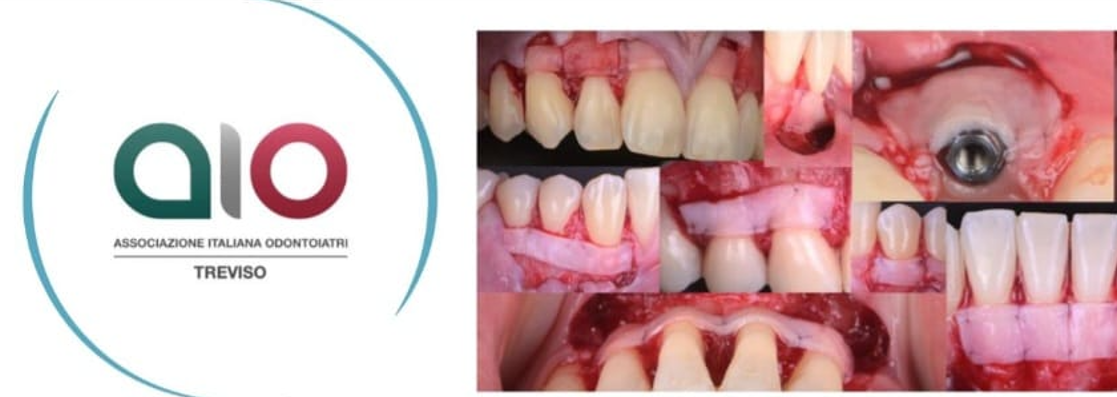
Corso di Chirurgia Mucogengivale
>>>Corso avanzato di Chirurgia Mucogengivale 2026- Quattordicesima edizione
La chirurgia mucogengivale è da considerarsi non solo fondamentale per risolvere i disestetismi legati alle recessioni gengivali, ma parte integrante nei trattamenti restaurativi e protesici di tutti i giorni. L’osservazione dello stato dei tessuti molli e duri è un passaggio fondamentale nel processo diagnostico per predeterminare il livello di ricopertura radicolare ottenibile ed evitare gli gli insuccessi.
Relatore:
Dr. Riccardo Stefani
Sede del Corso:
Treviso
Sold Out
L' innesto connettivale dalla A alla Z
SERATA CULTURALE AIO TREVISO
Il prelievo di tessuto connettivale dalla fibromucosa palatina rappresenta una pratica clinica che trova molteplici indicazioni nel trattamento delle anomalie dei tessuti molli intorno ai denti o impianti.
Il fatto che tale procedura venga associata ad un potenziale pericolo emorragico o a dolori post operatori per il paziente scoraggia molti operatori.
Durante la serata il Relatore illostrerà le nozioni basilari per affrontare
questa procedura in sicurezza e sfruttare al meglio le potenzialità del connettivo nella moderna chirurgia plastica parodontale.
Martedì 20 Gennaio 2026 - 19,30/22,30
Relatore:
Dr. Riccardo Stefani
Sede del Corso:
Hotel Le Terrazze - Villorba TV
Gratuito per Soci AIO e Studenti
Non lasciare nulla al caso.
Complicanze e insuccessi in chirurgia orale
L'ALTRA FACCIA DEI SUCCESSI"
Obiettivi del corso
Riconoscere e prevenire le principali complicanze in chirurgia orale implanto protesica e mucogengivale.
Comprendere le cause biologiche, tecniche e iatrogene degli insuccessi.
Gestire correttamente le complicanze intra- e post-operatorie.
Ottimizzare la prognosi e la soddisfazione del paziente.
Data:
11 Aprile 2026
Sede del corso:
Hotel Crowne Plaza Padova
Relatori: Dr. Riccardo Stefani - Dr. Aldo Zupi
ASO - Aggiornamento obbligatorio 10 Ore per l'anno 2026
Obiettivi del corso
Ruolo dell’ ASO in ambito chirurgico.
Conoscere le procedure chirurgiche odontoiatriche di base.
Saper allestire e mantenere un campo operatorio sterile.
Gestire in modo sicuro strumenti e materiali chirurgici.
Collaborare efficacemente con l’odontoiatra durante l’intervento.
Fornire assistenza e supporto psicologico al paziente.
Modalità:
Lezione frontale + sessione pratica dimostrativa.
Data:
11 Aprile 2026
Sede del corso:
Hotel Crowne Plaza Padova
Relatori: Dr. Ivone Favretto - Dr. Aldo Zupi
Nevila Bako ASO
Corso di Chirurgia Mucogengivale
>>>Corso avanzato di Chirurgia Mucogengivale 2026- Quindicesima edizione
La chirurgia mucogengivale è da considerarsi non solo fondamentale per risolvere i disestetismi legati alle recessioni gengivali, ma parte integrante nei trattamenti restaurativi e protesici di tutti i giorni. L’osservazione dello stato dei tessuti molli e duri è un passaggio fondamentale nel processo diagnostico per predeterminare il livello di ricopertura radicolare ottenibile ed evitare gli gli insuccessi.
Relatore:
Dr. Riccardo Stefani
Sede del Corso:
Treviso
Nuova edizione 2026
